Стоматолог Асафо Эдуард Джорджиевич — цены, отзывы, стаж — Принимает в Воронеже

Асафо Эдуард Джорджиевич

Асафо Эдуард Джорджиевич - фотография
стоматолог-ортодонт
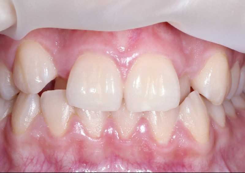
Асафо Эдуард Джорджиевич принимает в «Стоматология ВИРТУОЗ» в Воронеже. Специализируется на ортодонтии, по которой клиника оказывает 11 услуг. Имеет 4 работы до/после в портфолио. Для уточнения дополнительной информации о специалисте или записи на прием можно позвонить по телефону
+7 (473)Показать телефон
.

Где принимает:

  • Стоматология ВИРТУОЗ ул. Владимира Невского, д. 14 4.8 32 отзыва
    Цена приема: бесплатно
    +7 (473)Показать телефон
    Клиника перезвонит в течение 10 минут

Отзывы о враче Асафо Эдуард Джорджиевич

Почему нашим отзывам можно доверять?
8 января 2019 г.
1 2 3 4 5
Хочу выразить особую благодарность своему врачу ортодонту, Асафо Эдуарду Джорджиевичу за внимательное и ответственное отношение к своей работе и моей ситуации. Спустя два года после снятия брекетов у меня образовался промежуток между двумя зубами на верхней челюсти. В ходе очередного к врачу было принято решение снова поставить брекеты на нужный участок до полного исчезновения проблемы. Совершенно бесплатно.
    Помогите другим сделать правильный выбор — оставьте свой отзыв о докторе
    Написать отзыв

    Услуги врача (13)

    Ортодонтия
    Установка брекетов
    Снятие брекетов
    Установка элайнеров
    Еще услуги
    Все цены носят ознакомительный характер. Точную цену вы сможете получить только после консультации специалиста.
    Звоните по телефону:
    +7 (473)Показать телефон

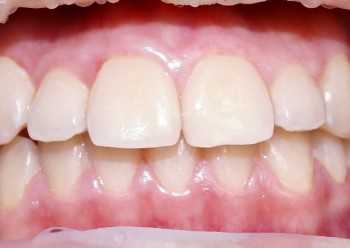
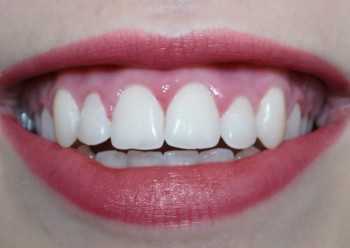
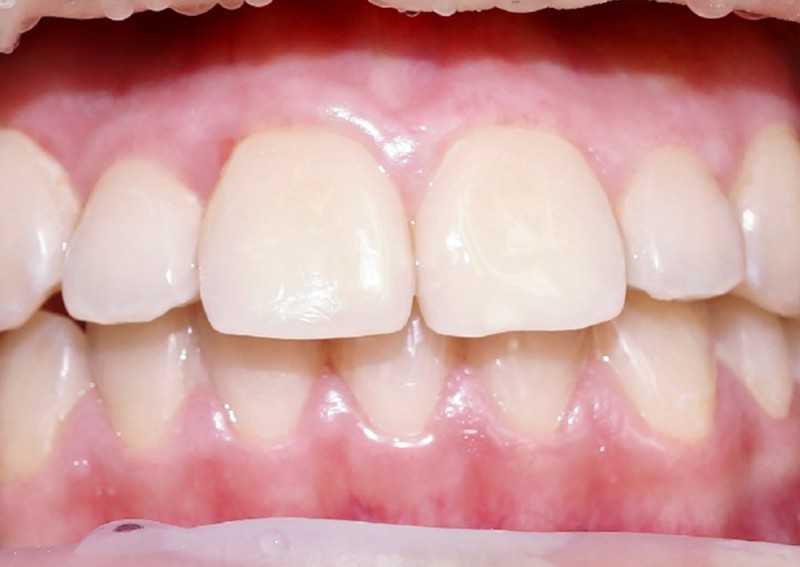
    Асафо Эдуард Джорджиевич: портфолио (4)