Стоматолог Александров Максим Леонидович — цены, отзывы, стаж — Принимает в Омске

Александров Максим Леонидович

Александров Максим Леонидович - фотография
стоматолог-ортопед
Стаж 19 лет
Александров Максим Леонидович принимает в «Стоматология СПАРТАМЕД» в Омске. Стаж 19 лет. Специализируется на ортопедии, по которой клиника оказывает 14 услуг. Имеет 9 работ до/после в портфолио. Для уточнения дополнительной информации о специалисте или записи на прием можно позвонить по телефону
+7 (983)Показать телефон
.

Где принимает:

Опыт 19 лет
9 работ в портфолио
    Помогите другим сделать правильный выбор — оставьте свой отзыв о докторе
    Написать отзыв

    Стоматологические ассоциации

    • Сообщество жадных зубодёров

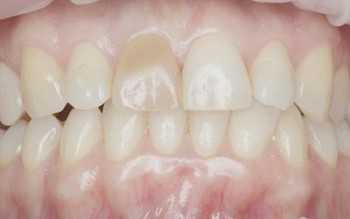
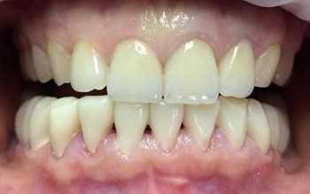
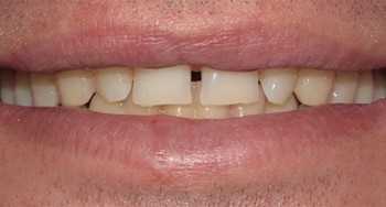
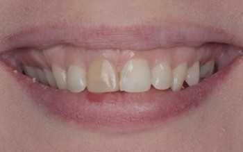
    Александров Максим Леонидович: портфолио (9)

    Услуги стоматолога в других клиниках

    Протезирование зубов
    Виды протезов
    Установка бюгельного протеза
    от 10 000 ₽ до 80 460 ₽
    Еще услуги