Стоматолог Лопатин Алексей Александрович — цены, отзывы, стаж — Принимает в Омске

Лопатин Алексей Александрович

Лопатин Алексей Александрович - фотография
стоматолог-хирург
стоматолог-имплантолог
Стаж 21 год
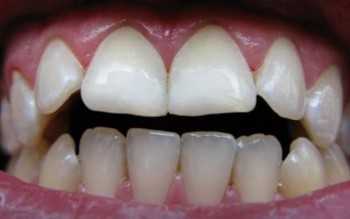
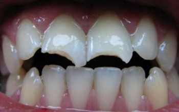
Лопатин Алексей Александрович принимает в «Стоматология СПАРТАМЕД» в Омске. Стаж 21 год. Специализируется на хирургии и имплантологии, по которым клиника оказывает 18 услуг. Имеет 2 работы до/после в портфолио. Для уточнения дополнительной информации о специалисте или записи на прием можно позвонить по телефону
+7 (3812)Показать телефон
.

Где принимает:

Опыт 21 год
2 работы в портфолио
    Помогите другим сделать правильный выбор — оставьте свой отзыв о докторе
    Написать отзыв

    Лопатин Алексей Александрович: портфолио (2)

    Услуги стоматолога в других клиниках

    Хирургическая стоматология
    Лоскутные операции