Стоматолог Мхитарян Артур Арменакович — цены, отзывы, стаж — Принимает в Нижнем Новгороде

Мхитарян Артур Арменакович

Мхитарян Артур Арменакович - фотография

5.0
Рейтинг: 5.0
Отзывов: 4
Положительных: 4
Отрицательных: 0
Последний : 2224 дн. назад
4 отзыва
стоматолог-ортопед
стоматолог-хирург
стоматолог-имплантолог
Мхитарян Артур Арменакович принимает в «Центр профессиональной стоматологии и имплантации СТРОНГ ДЕНТ» в Нижнем Новгороде. Специализируется на ортопедии, хирургии и имплантологии, по которым клиника оказывает 21 услугу. Имеет 5 работ до/после в портфолио. Для уточнения дополнительной информации о специалисте или записи на прием можно позвонить по телефону
+7 (8312)Показать телефон
. Занимает 8 место в рейтинге стоматологов вашего города.

Где принимает:

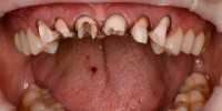
5 работ в портфолио
Топ 10 в рейтинге

Отзывы о враче Мхитарян Артур Арменакович

Рейтинг: 5
Отзывов: 4
Положительных: 4
Отрицательных: 0
Последний: 2224 дн. назад
5.0
Почему нашим отзывам можно доверять?
19 марта 2020 г.
1 2 3 4 5
Хочу поблагодарить Артура Арменоковича и Унана Геворгиевича за удачно проведенную имплантацию, и протезирование. Ставила протезы все на 6ти имплантах, зубы получились естественными. Процесс адаптации и вживления прошел быстро, были небольшие отеки, но это нормальное явление, так как мне проводили еще процедуру по наращиванию кости. Сроки лечения конечно не маленькие, но оно того стоит. С удовольствием рекомендую клинику и этих золотых врачей!
29 января 2020 г.
1 2 3 4 5
Обратились в Стронг-Дент, так как клиника недалеко от нашего дома. Приличная клиника, с хорошим оборудованием, и с профессиональным составом. Нам с женой нужно было протезироваться, для начала мы сделали 3д снимок, нам провели диагностику и врачи составили план лечения. Моей жене поставили коронку на три зуба, а мне 2 импланта. Результатом довольны! И это очень важно! Хотим поблагодарить докторов, которые нами занимались: Мхитаряна А.А., Гуляна У.Г., и Светлану Константиновну Полянскую. Мы очень рады, что обратились именно к вам! Спасибо!
23 октября 2019 г.
1 2 3 4 5
Я очень рада, что нашла для себя такую клинику, как «Стронг-Дент»! Здесь уютно и красиво, играет приятная музыка, приветливые сотрудники, все в целом заставляет забыть ощущение, что находишься в медицинской организации. У персонала хорошая профессиональная подготовка, очень много грамот и дипломов. Оборудование современное, есть все для полной диагностики зубов! Руководство «Стронг Дент» – большие молодцы! Особо хочу выделить Артура Арменаковича – он знающий, опытный, безупречный хирург-имплантолог и ортопед. Он делал мне одномоментную имплантацию переднего зуба, операция прошла в очень комфортной обстановке, доктор и его ассистенты были очень внимательны ко мне. После операции отеков не было, период реабилитации прошел быстро. Очень довольна клиникой. Спасибо большое!
21 января 2019 г.
1 2 3 4 5
Уже несколько лет хожу в эту клинику. Обращаюсь со всеми зубными проблемами. Очень важно, что врачи здесь хорошие и опытные. Мне нравится пародонтолог Светлана Константиновна, хирург Мхитарян А.А., ортопед Гулян У.Г., ортодонт Венкова Елена Николаевна. Этим врачам я точно полностью доверяю, и не напрасно! Вместе с ними я прошла через лечение зубов, удаление, исправление прикуса брекетами, имплантацию и окончательное протезирование коронками. За все это время ни разу не пожалела, что обратилась именно сюда. По поводу сервиса, тоже все на высоте, когда тебе предстоит долгое лечение, очень важно, чтобы тебя окружали не только профессионалы, но внимательные люди. Реально тяжело через все это пройти, но когда знаешь, что тебя всегда по человечески поддержат, как-то легче на душе. ) Спасибо всем работникам стоматологии «Стронг-Дент»! Вы самые лучшие!
Клиника «STRONG-DENT»
17 октября 2019 г.
Здравствуйте! Спасибо Вам за отзыв, и позвольте выразить особую благодарность за выбор нашей клиники. За долгие годы работы, нам удалось собрать сильную профессиональную команду специалистов, которые каждый день работают над тем, чтобы лечение зубов проходило в максимально приятной атмосфере, а главное качественно. С наилучшими пожеланиями, администрация клиники «STRONG-DENT».
    Помогите другим сделать правильный выбор — оставьте свой отзыв о докторе
    Написать отзыв

    Услуги врача (11)

    Эстетическая стоматология
    Установка виниров
    Хирургическая стоматология
    Удаление зубов
    Удаление кисты и гранулемы зуба
    Лоскутные операции
    Еще услуги
    Протезирование зубов
    Установка коронки на зуб
    Установка бюгельного протеза
    Установка мостовидного протеза
    Еще услуги
    Все цены носят ознакомительный характер. Точную цену вы сможете получить только после консультации специалиста.
    Звоните по телефону:
    +7 (8312)Показать телефон

    Мхитарян Артур Арменакович : портфолио (5)