Стоматолог Строев Вадим Витальевич — цены, отзывы, стаж — Принимает в Краснодаре

Строев Вадим Витальевич

Строев Вадим Витальевич - фотография

5.0
Рейтинг: 5.0
Отзывов: 16
Положительных: 16
Отрицательных: 0
Последний : 2520 дн. назад
16 отзывов
стоматолог-хирург
стоматолог-имплантолог
Стаж 21 год
Строев Вадим Витальевич принимает в «Стоматология ДЕНТИС» в Краснодаре. Стаж 21 год. Специализируется на хирургии и имплантологии, по которым клиника оказывает 10 услуг. Имеет 5 работ до/после в портфолио. Опыт подтверждён 16 отзывами пациентов, из которых 16 положительные. Для уточнения дополнительной информации о специалисте или записи на прием можно позвонить по телефону
+7 (8612)Показать телефон
. Занимает 5 место в рейтинге стоматологов вашего города.

Где принимает:

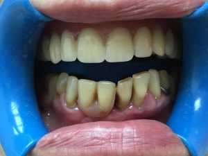
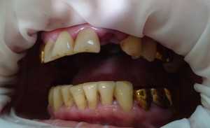
5 работ в портфолио
Опыт 21 год
Топ 10 в рейтинге

Отзывы о враче Строев Вадим Витальевич

Рейтинг: 5
Отзывов: 16
Положительных: 16
Отрицательных: 0
Последний: 2520 дн. назад
5.0
Почему нашим отзывам можно доверять?
28 мая 2019 г.
1 2 3 4 5
Вадим Витальевич ставил мне имплант шесть лет назад. Я иногда и забываю, что у меня имплант. Полноценно пользуюсь им, как жевательным зубом. Самые лучшие впечатления и воспоминания. Когда искала имплантолога, основывалась на том, что именно тот практик, кто работает "на потоке". Рекомендовала своим друзьям. Все, кто обратился, остались довольны. Вообще, о "ДЕНТИСЕ" самое лучшее впечатление. Спасли то, что в других клиниках назвали безнадежным. Благодарю!
17 мая 2019 г.
1 2 3 4 5
Боялась. В нескольких клиниках планировала, но как настроюсь - давление. Я с гипертонией. Здесь предложили под седацией полечить. Не поняла, но согласилась. Короче, в сознании, но в полудреме. Анестезиолог за давлением следил. Состояние спокойное было, даже не поняла как все прошло. Раньше бы о таком и не подумала. Хирург молодец, все чётко, аккуратно. Все-таки стоматология сейчас не то, что раньше. Целая бригада врачей была. Круто. Порадовало, что все лицензировано. Чувствуется серьезный подход. В общем, прошло как сон. Спасибо вам всем, и в частности Вадиму Витальевичу. Надеюсь, протезирование пройдёт успешно.
16 апреля 2019 г.
1 2 3 4 5
Доктор - умничка! На приеме все понравилось. Единственное, что не понравилось, - это договор. Его подписывают перед приемом, и в нем, заранее, клиника снимает с себя всю ответственность. Т.е., если, даже, тебе поставят имплант не того цвета, то виновато будет освещение. У меня была консультация. Доктор все посмотрел, рассказал, "разложил по полочкам". Отношение ко мне было отличным. Мне установили 2 импланта, быстро качественно, дали гарантийный сертификат с пожизненной гарантией!
26 марта 2019 г.
1 2 3 4 5
Хочу поделиться эмоциями после посещения Строева Вадима Витальевича. Знаю его, как высококвалифицированного имплантолога, но и проводит хирургические процедуры также на отлично. Недавно вот удалял мне зуб мудрости, который уже давно нужно было удалить, но не было времени. Врач спокойный, вежливый, настоящий интеллигент. Только хорошие слова о Вадиме Витаельевиче. Спасибо Вам!
15 марта 2019 г.
1 2 3 4 5
Вполне реальные цены на установку имплантов. Исходя из этого и выбирала клинику и, конечно же, врача. Вадим Витальевич – опытный врач, до имплантации слышала отклики знакомых и читала отзывы о нем. За плечами этого доктора уже больше сотни проведенных операций. Действительно мастер своего дела.
15 марта 2019 г.
1 2 3 4 5
Очень благодарю Наталью Вадимовну и Вадима Витальевича за спасенные зубы, думала, что такие разрушенные только удалять скажут, но нет 2 зуба спасли, установили коронки теперь как новенькие. Решили все мои зубные проблемы и сделали мою улыбку красивой. Спасибо большое!
14 февраля 2019 г.
1 2 3 4 5
Вадим Витальевич на мой взгляд высококвалифицированный стоматолог. Ставил бабушке и мне имплант. Прижились легко, никаких осложнений, всё прекрасно. Спасибо огромное за превосходную и аккуратную работу.
22 января 2019 г.
1 2 3 4 5
Вадим Витальевич - делает работу качественно. Один минус - не дешёвое удовольствие, но я прекрасно понимаю, что такой профессионал не будет работать за копейки. На здоровье экономить не буду, буду продолжать лечение у Строева и советовать его друзьям.
12 января 2019 г.
1 2 3 4 5
Устанавливал импланты 3 года назад у Строева , было мало кости и доктор решил сделать имплантацию по новой методике олл ин фо. Операция прошла легко, в стоматологии используется специальный газовый аппарат, который обезбаливает и страхи отгоняет)) Есл чесно думал, что ничего у меня не приживется, т.к. много курю, но все отлично держиться, проверил временем. Главное регулярно ходить на профессиональную чистку. Спасибо Вам за это, Вадим Витальевич.
12 января 2019 г.
1 2 3 4 5
Я поняла, что такое комфортное лечение зубов – только посетив клинику Дентис. Много читала о наркозе и седации в стоматологии, вот и решила попробовать. Ощущение что ты во сне, полностью расслабленное состояние и весь страх ушел! Хорошие врачи, особая благодарность Строеву Вадиму и Галустяну Сергею, которые всегда помогают восстановить утраченные зубы даже в самых запущенных случаях. Их работы уже проверены временем. Для меня удобно еще тем, что стоматология находится рядом с работой, поэтому у меня нет проблем с посещением стоматолога.
    Помогите другим сделать правильный выбор — оставьте свой отзыв о докторе
    Написать отзыв

    Услуги врача (6)

    Эстетическая стоматология
    Установка виниров
    Хирургическая стоматология
    Удаление зубов
    Удаление кисты и гранулемы зуба
    Лоскутные операции
    Еще услуги
    Все цены носят ознакомительный характер. Точную цену вы сможете получить только после консультации специалиста.
    Звоните по телефону:
    +7 (8612)Показать телефон

    Стоматологические ассоциации

    • Лобби недалёких зубодёров

    Строев Вадим Витальевич: портфолио (5)